About Our Dental Implant Procedures
Patient Stories
Your smile has a big impact on how you look and feel. Esthetix Dental Spa continually helps patients transform their image and their lives by transforming their smiles. The gallery below gives you an overview of the types of smile transformations we can create.

Once in a while our patients want the same fabulous results of a smile makeover they have seen on TV. An amazing smile that is straight, white and just perfect.
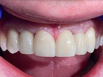
Joe
Joe is a singer and artist in NYC. He is missing his lateral incisors congenitally. He wasn’t happy with his existing look. He wished to eat better without having to be worried when his temps will break and for sure wanted a better smile.
The space between his teeth didn’t allow us to place his implants. At EDS, with the help of various specialists under one roof we were able to reposition his teeth with braces. Surgically placing his implants and restoring his smile with cosmetic dentistry, Joe can’t stop smiling and he loves the way his teeth look and enjoys eating all the food he would shy away from.


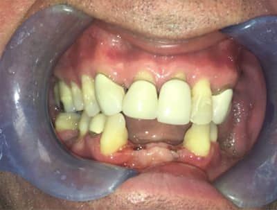
Juan
Juan presented to our office with previously done dental work. The dental work was relatively old and he was having problems with most of his upper teeth. He was ready for a change and willing to undergo the treatment to make him Brand new and a much younger looking juan
Incorporating advanced cone beam technology, after sinus augmentations and bone grafts, Implants were placed. Utilizing cutting edge CADCAM techniques a “Thimble implant bar design” was used to create individual ceramic crowns for a very life like and robust full arch prosthesis
SPECIAL IMPLANT
CONSULTATION
ONLY $99
Pre-screening implant questionnaire
CT scan and other radiographs
One on one consult with Dr. Philomin and any other specialist he deems necessary in the office
Discussing Financing options should you require third party financing
Financing & Payment Plans
We understand how important it is to be able to restore your dental health and your confidence with a long-term solution. That’s why we offer third-party financing options and work with you on payment plans to fit your budget.
Financing & Payment Plan
*All information provided is properly encrypted for your security.
Single Implant Replaced
for as little as
$97 a month*
Implant Retained Dentures
for as little as
$247 a month*
Full Fixed Arch
for as little as
$347 a month*
*Subject to Credit Approval
At your consultation, we can review all the options available to you.
























